Все новости сайта за 14 апреля 2026
Первый Кубок Защитников Отечества для ветеранов СВО пройдет в Томске
14.04.2026 16:09
Многодетные семьи Томска подали 7 заявлений на выплату вместо земли
14.04.2026 13:51
Уровень воды в Томи снижается, две дороги в Томске всё ещё перекрыты
14.04.2026 11:57
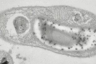
Микробиологи ТГУ назвали новый род бактерий в честь Томской области
14.04.2026 10:48