Примерное время чтения: 1 минута
42

Микробиологи ТГУ назвали новый род бактерий в честь Томской области

Desulforudis audaxviator («смелый путешественник»)
Desulforudis audaxviator («смелый путешественник») ТГУ
Томск, 14 апреля - Аиф-Томск.

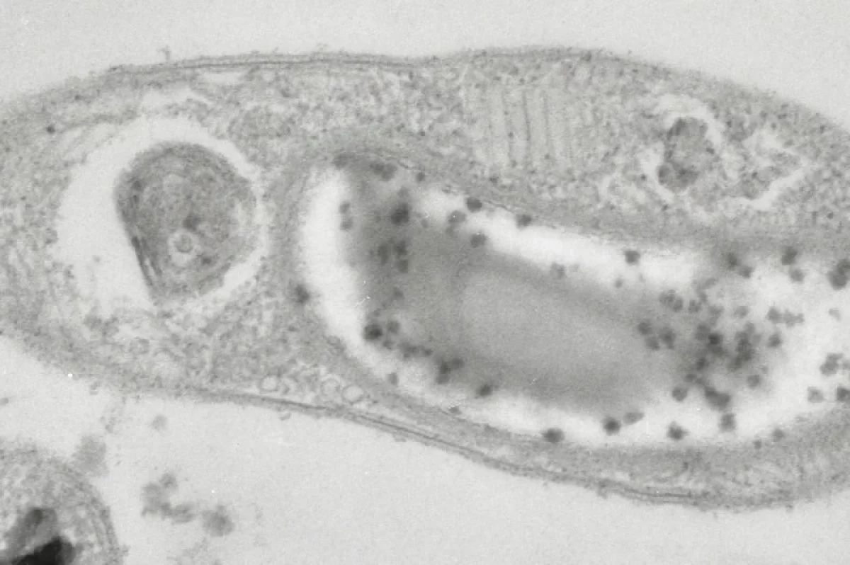
Микробиологи Томского госуниверситета вместе с коллегами из ФИЦ «Биотехнологии» РАН опубликовали статью с детальным описанием бактерии Desulforudis audaxviator («смелый путешественник»). Этот микроорганизм, найденный в глубоких недрах Земли, способен жить в условиях, близких к марсианским — без света и кислорода, за счет энергии радиоактивного распада. Теперь бактерия «легализована»: ей присвоено официальное имя.

Ученые ТГУ обнаружили «смелого путешественника» в подземных водах термального источника в Верхнекетском районе Томской области. Полное секвенирование генома показало, что он абсолютно идентичен бактерии, найденной ранее в Южной Африке. Это значит, что геном не менялся со времен Пангеи — суперконтинента, существовавшего 335–175 миллионов лет назад, что противоречит классическим представлениям об эволюции.

Главное открытие томских микробиологов — новый род и семейство бактерий, «родственников» «смелого путешественника». Их нашли в подземных скважинах в Томской, Кемеровской и Тюменской областях. Новый род назвали Desulfosceptrum tomskiensis — в честь Томской области. В отличие от легендарного «путешественника», его сибирский «родственник» живёт на меньшей глубине, где есть ионизирующее излучение, вызывающее мутации, поэтому его ДНК всё же меняется, пусть и медленно.

Оцените материал
Оставить комментарий (0)
Подписывайтесь на АиФ в  max MAX

Топ 5 читаемых


Самое интересное в регионах